Подмосковные врачи более восьми часов спасали пациента после неудачного падения
Мужчину с тяжелой травмой бедра в Дубненскую больницу доставила бригада скорой помощи.
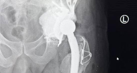
Обследование выявило сложный перелом со смещением, сильную кровопотерю и болевой синдром. Ситуацию осложнило повреждение ранее установленного тазобедренного протеза: его элементы пробили тазовое дно, а металлические фрагменты оказались опасно близко к органам малого таза.
Существовал высокий риск повреждения внутренних органов, нервов, развития инфекции и внутреннего кровотечения. Несмотря на сложность и длительность операции, она прошла успешно.
«Операция длилась долгих 8 часов и потребовала особой осторожности и точности. При данном виде травмы из-за сильного кровотечения пациенту дважды переливалась кровь — перед началом хирургического вмешательства и во время операции. Сначала мы извлекли компоненты старого протеза, после чего в тазовую кость установили специальную конструкцию в виде каркаса, что позволило создать точку опоры для крепления нового сустава. Собрали перелом бедренной кости, установив новый тазобедренный сустав», — рассказал врач-травматолог Дубненской больницы Максим Калинкин.
Почти три недели пациент находился под наблюдением врачей и заново учился ходить. После курса реабилитации мужчину выписали домой.


















































