Сосудистые хирурги Долгопрудного спасли мужчину с разрывом аневризмы
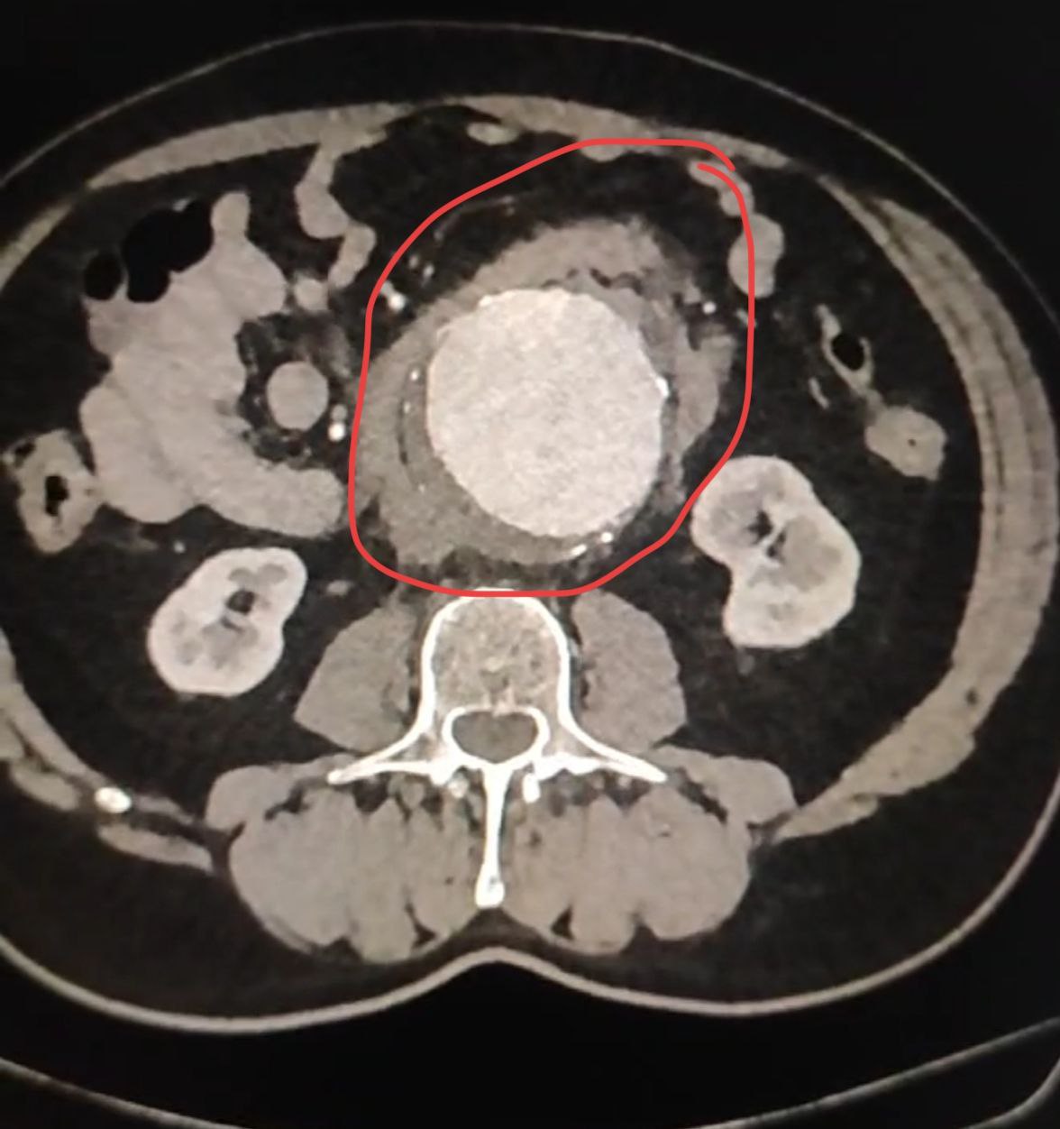
В больницу округа был доставлен 66-летний пациент с подозрением на разрыв аневризмы брюшной аорты.
Как пояснили в Долгопрудненской больнице, аневризма брюшной аорты - опасное заболевание, при котором сосуд расширяется. Аорта приобретает форму шара с истончёнными стенками, и возникает угроза её разрыва.
У больного разрыв аневризмы всё-таки произошёл, часть крови излилась в забрюшинное пространство. Летальность при данном состоянии без операции составляет 100%.
Наши врачи под руководством заведующего отделением сосудистой хирургии Алексея Варина провели экстренную операцию. Они успешно выполнили протезирование брюшной аорты: заменили поражённый участок на синтетический сосудистый протез.
Жизнь человека была спасена, и в скором времени мужчина в удовлетворительном состоянии был выписан домой!
Мы желаем скорейшего выздоровления всем пациентам Долгопрудненской больницы! А нашим медработникам вновь говорим: вы – лучшие!
Официальный Долгопрудный l MAX
#долгопрудный #здравоохранениевДолгопрудном #СпасибоДоктор









































