Подмосковные врачи спасли сустав 13-летнего подростка
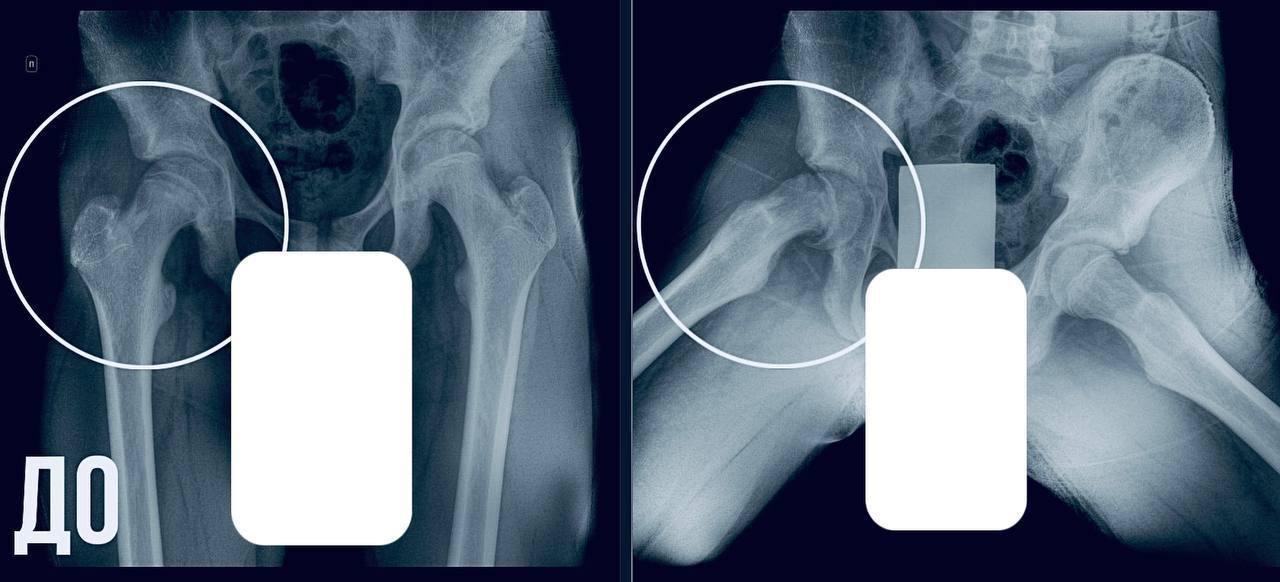
В МОДКТОБ обратились родители 13-летнего мальчика: у него болело бедро, появилась хромота и неустойчивая походка. Обследование показало юношеский эпифизеолиз — смещение головки бедренной кости в период активного роста.
Врачи срочно провели фиксацию сустава, чтобы остановить смещение и предотвратить ранний артроз. Подросток уже идет на поправку и скоро начнёт реабилитацию.































































