Нейрохирурги Центра Рошаля удалили 5-сантиметровую опухоль мозга у подростка

Нейрохирурги Центра Рошаля удалили 5-сантиметровую опухоль мозга у подростка

Нейрохирурги Центра Рошаля удалили 5-сантиметровую опухоль мозга у подростка

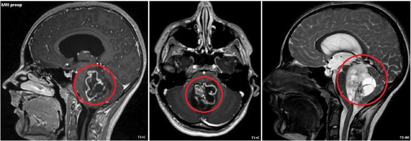
Врачи Детского клинического центра имени Льва Рошаля провели сложнейшую операцию 15-летнему пациенту. У подростка диагностировали опухоль задней черепной ямки размером около 5 см, из-за которой его постоянно тошнило и рвало.

Хирурги во главе с Асланом Текоевым удалили образование с помощью ультразвукового аспиратора, сохранив все жизненно важные структуры мозга. Сейчас подросток чувствует себя хорошо и уже выписан из больницы.

Подписаться на нас в MAX | Написать нам

Источник: Telegram-канал "РИАМО"

Топ

В регионах

Лента новостей