Ортодонт из Долгопрудного стала призёром областного конкурса детских стоматологов
10 марта стали известны результаты конкурса «Лучший клинический случай в практике детского стоматолога». Его ежегодно проводит «Московская областная стоматологическая поликлиника».
По направлению «Ортодонтия» жюри в составе ведущих детских стоматологов и челюстно-лицевых хирургов Подмосковья единогласно присудило второе место врачу-ортодонту стоматологического отделения Долгопрудненской больницы Анастасии Борисовой.
Этот молодой доктор пришла в стоматологическую поликлинику после ординатуры, чтобы отработать три года по целевому договору на обучение.
Однако профессиональная деятельность в Долгопрудненской больнице пришлась Анастасии Борисовой по душе, и она трудится здесь уже шесть лет. За это время в своей практике доктор накопила немало интересных случаев, достойных внимания широкого круга коллег.
Материалы для представления на конкурс были подготовлены очень тщательно.
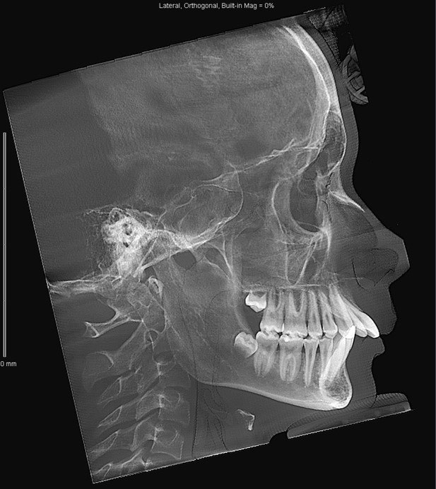
«Подросток 15 лет обратился с жалобой эстетического характера, – рассказывает ортодонт. – Зубы очень сильно выпирали вперёд. Надо было тщательно собрать анамнез, проанализировать гипсовые слепки, фото и рентгеновские снимки, чтобы выбрать оптимальный метод лечения».
Вместе с пациентом Анастасия Борисова начала большую работу с использованием брекет-системы и микроимплантов. И подросток, и его родители были готовы к длительному лечению.
«Поэтому все мы очень обрадовались, когда удалось добиться результата всего за 12 месяцев, – делится доктор. – Если бы пациент затянул с обращением к специалисту, то без операции на челюсти уже нельзя было бы обойтись».
Поздравляем юного пациента с красивой улыбкой, а Анастасию Борисову – с высокой оценкой её профессионального мастерства! В прошлом году она тоже участвовала в конкурсе и заняла третье место. Уверены, в 2027-м ей обязательно повезёт, и победа окажется в её руках!
Записаться на приём к Анастасии Борисовой можно в личном кабинете на региональном портале «Госуслуги», в инфомате или по телефону колл-центра 122 (здесь же можно оставить заявку в листе ожидания записи).
Официальный Долгопрудный l MAX
#долгопрудный #вдолгопрудном #подмосковье #здравоохранениевДолгопрудном #СпасибоДоктор





















































