Подмосковные врачи удалили подростку крупную опухоль в ноге
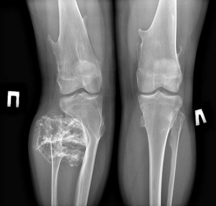
В МОДКТОБ обратились родители 15-летнего юноши с жалобой на твёрдое новообразование в области малоберцовой кости. Обследование показало остеохондрому — доброкачественный костный вырост.
Размер опухоли достигал 988 см, поэтому врачи приняли решение о плановой операции. Новообразование удалили в пределах здоровой костной ткани.
После лечения подростка выписали домой. Функция ноги полностью сохранена, а через три недели реабилитации он сможет вернуться к обычной жизни.

























































